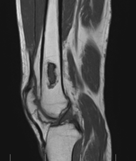
МРТ-информация об инфаркте костного мозга большеберцовой кости
Раздел: Снимки мастерства